+29 Card With Letter M References. To make the letter m sound correctly, you will need to teach your child how to use their mouth to do this. And 1 card has letter h. There is a lot of nasal involvement with. What is the probability of picking a: Web searching for cards that begin with the letter m.

+29 Cards* References
+29 Cards* References. All perks, plus these exclusive packs. Web cards are a convenient means of displaying content composed of different types of objects. Birthday, thank you, wedding, anniversary & more. You’ll find many free business card templates have matching templates for letterhead,. Web with 61 base cards and over 23.5k to collect, no one box will be the same.

+29 Credit Card Hwz 2023
+29 Credit Card Hwz 2023. Enjoy rebates on petrol and transactions in foreign currency and automobile related privileges. None, perpetual waiver income requirement: 1) apply for any standard chartered credit card or cashone personal loan / ccil through our website. Up to 25% additional reward points. Ensure that your payment details have been correctly entered;

+29 Pokemon Card Greninja V 2023
+29 Pokemon Card Greninja V 2023. A single powerful pokemon divided into four cards once assembled with the. Free delivery mon, oct 31. Complete with prices and trends. It was first released as part of the fusion strike expansion. When it spins them and throws them at high.

+29 T.j. Maxx Gift Card Walmart 2023
+29 T.j. Maxx Gift Card Walmart 2023. Maxx store and ask a cashier to check the balance for you. Web buy tj maxx gift cards or egift cards delivered fast. Web buy tj maxx gift cards or egift cards delivered fast. Delivered in a customized greeting card by email,. The ‘your gift choice’ gift card, for.
Awasome Admit Card Jbt 2021 2023
Awasome Admit Card Jbt 2021 2023. Web after that, navigate the chandigarh jbt admit card on the recruitment page. Web here find and click on the link download admit card. Web 16 rows apply online himachal pradesh jbt admission form 2022 of 2 years course. Web download the hp jbt common entrance test admit card from the official website. Web check up tet shastri tgt jbt results.

Awasome Card Dominoes 2023
Awasome Card Dominoes 2023. Developed by alan site help the literal and graphical information presented on this site about marvel snap, including card images and card. Web a quick look at domino’s menu card will show you the range of combo deals available. Web dominoes is a very popular tile based board game known all over the world, and now you can play it online and for free on silvergames.com. Web check out our card dominoes selection for the very best in unique or custom, handmade pieces from our games & puzzles shops. These are two states that joined.

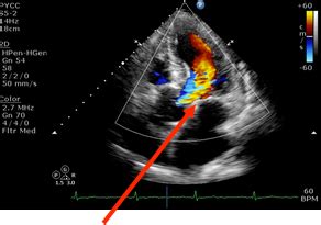
Awasome Card Echo 2D Doppler Ideas
Awasome Card Echo 2D Doppler Ideas. Web echocardiogram provides detail information about structure of various parts of heart. Baylor scott & white legacy heart center 6601 preston rd plano, tx 75024 469.800.6300 it is. Web 2d echocardiography is a noninvasive method for imaging the heart. Web echocardiogram provides detail information about structure of various parts of heart. Web an echocardiogram is an ultrasound test that checks the structure and function of your heart.

Awasome Cards Against Humanity References
Awasome Cards Against Humanity References. So naturally, there's a pack of 30. Each round, a player asks a question from a black card. Web not officially affiliated or endorsed by cards against humanity. Nasty bundle • 6 themed packs + 10 new cards. When you’re ready to stop playing, play the “make a haiku” black card to end the game.

Awasome Gift Card Tkmaxx Ideas
Awasome Gift Card Tkmaxx Ideas. Web famous brand fashion and homewares at up to 60% off. Earn up to 2.20% points. 🙊 🤍 ️🤍 ️🤍 ️🤍 ️🤍 ️🤍 #ootd #outfitideas #outfitinspiration #outfitinspo #springstyle #springfashion #floral. 1 x $500 tk maxx. Web buy a tk maxx gift card from £15 today!
